- Treatments
- Patient Results
- Cost
- For Patients
- About Us
- Meet Dr Solomon
- Blog
- Is Wearing a Retainer Important After Getting Braces?
- Are Clear Aligners Worth It?
- What Are the Common Orthodontic Emergencies?
- Dealing With Wisdom Teeth Problems Before and During Orthodontic Treatment
- How Do You Speed up the Process of Your Braces With Accelerated Orthodontics?
- Orthodontic Advancements – The Goods of Functionality And Aesthetics
- Best Foods You Can You Eat and What to Avoid During Orthodontic Treatment?
- How Do Oral Dental Scanners Work for In-House Dental Care?
- How To Use Flossers To Clean Teeth With Braces?
- Top Reasons You Should Get Straight Teeth
- How Can I Get Straighter Teeth With Braces?
- How Can You Benefit from At-Home Orthodontics?
- A Comparative Approach Between INVISALIGN & SPARK Aligners
- Are There Fun Things to Do in Beverly Hills?
- You’re Never Too Old to Get the Smile of Your Dreams Using Invisalign
- Contact Us
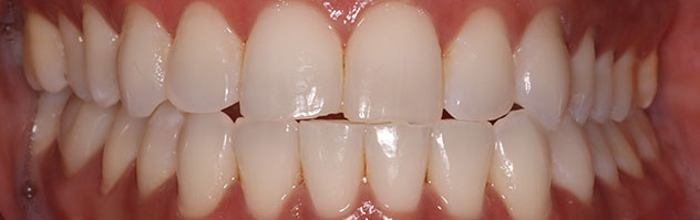
Before and afters
They say a picture is worth a thousand words, and that’s certainly true when it comes to the results of orthodontic treatment! Browse through some of the incredible results we’ve achieved for our happy patients in LA and Beverly Hills.
PATIENT RESULTS
We are proud to say that we have helped countless patients improve their dental health and boost their confidence through our orthodontic treatments.
Spacing, misalignment and flared upper teeth with misshapen central incisors
Anterior open bite due to tongue thrust, chipping incisors due to edge-to-edge bite, uncoordinated maxillary and mandibular arches, some crowding, misalignment.
Narrow arches, severe class 2 skeletal and dental bite (upper jaw and upper teeth are too far forward compared to the lower jaw and the lower teeth, severely flared upper incisors, anterior open bite due to tongue thrust, incorrect gingival height.
Flared upper incisors, deep overbite, class 2 bite (upper jaw is too far forward compared to the lower jaw), crowding in the lower arch, misalignment, uneven gingival architecture, misshapen teeth.
Severe crowding in the upper and lower arches, anterior open bite due to tongue thrust habit, uneven gingival architecture, narrow arches, misshapen teeth, misalignment.
Anterior open bite due to tongue thrust despite history of orthognathic jaw surgery to correct the open bite, overly expanded upper posterior molars from previous orthodontic treatment at other treating dentist, periodontally compromised teeth.
Deep bite, misshapen teeth, moderate spacing, misalignment.
Patient presents unsatisfied with previous orthognathic jaw surgery results, traumatic occlusion, incisal edges of anterior teeth chipping due to edge-to-edge bite, grinding of teeth, midlines are off.
Flared anterior teeth, crossbite and edge-to-edge bite, class 3 skeletal and dental bite, incisal edge chipping, mobile (loose) front teeth due to traumatic anterior bite, midlines are off.
Crowding, misalignment, uneven gingival architecture.
Could this be your smile?
Start your own smile transformation by booking a free consultation with the team at Smile Health Orthodontics.
Book a free consultation
Get in touch
Visit our team and discover why we’re the trusted choice for orthodontic care in Los Angeles and Beverly Hills.
Los Angeles
1462 S Robertson Blvd.
Los Angeles
CA
90035
team@shosmile.com
Working Hours
- Mon-Thur - 9am to 6pm
- Fri - 9am to 1pm
Beverly Hills
436 N Roxbury Dr, Suite 203
Beverly Hills
CA
90210
team@shosmile.com
Working Hours
- Mon-Thur - 9am to 6pm
- Fri - 9am to 1pm